This is an idiopathic condition most often seen in women during the third trimester of pregnancy and in middle-aged men. Typically there is no antecedent trauma and up to 40% of patients may show involvement in other joints.


Other causes of hip pain must be excluded as there is no positive diagnostic test for Transient Osteoporosis.
Clinical Feature
Patients typically complain of groin pain and mild limited ROM of hip. In severe cases patients may be unable to bear weight even if hip pain is minimal.
Investigations
Inflammatory markers may be elevated, but this should prompt further investigations to exclude infection/tumour/inflammatory arthritis
There is a pre-radiologic al phase of 1-2 months following which the osteopenia diffusely involves femoral head and neck. This may be confused with AVN or femoral neck stress fracture. The joint space is always preserved.
Bone Scan (technetium 99m) may show increased uptake before x-ray changes appear. The scan will show increased diffuse uptake of the whole femoral head with tapering over femoral neck and increased uptake in acetabulum. The scan usually returns to normal 12-15 months after onset of symptoms. There may also show increased uptake in other osteopenic joints.
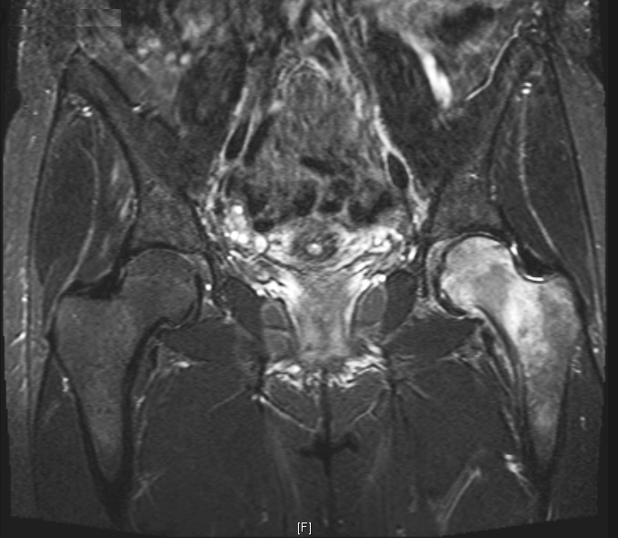
MRI scans show characteristic changes with decreased signal intensity of bone marrow on T1-images, increased signal intensity relative to the intensity of normal marrow on T2-images and joint effusions are characteristically seen on T2-images. There may be crescent lines but when studied these all resolve without progressing to AVN.
Treatment
Spontaneous recovery usually occurs within 2-9 months. Management is by exclusion of other conditions and simple treatment to protect the joint (stop running), limited weight bearing if necessary and simple analgesics. In pregnancy, symptoms tend to resolve in the first few postpartum months.
Very rarely a stress fracture can occur with excessive loading of the hip joint.
© Mr Gavin Holt :: CotswoldClinics.com :: Print this frame