Labral Tears and Impingement


Introduction




Any joint has a theoretical maximum range of movement beyond which the bones will impinge against each other. The hip is a ball and socket joint that has evolved to provide the best functional range before impingement.


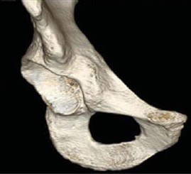
Note that the shape of the extreme range reflects the shape of the acetabulum:-


The hip is a very congruent joint, however the osseous acetabulum only covers 70-80% of a hemisphere. In order to protect the native joint from dislocation there is a strong capsule, strengthened by ligaments and augmented by the labrum of the hip.




It is not unreasonable to expect movement of the hip that attempts to exceed the limits imposed by the design will cause damage. This may be compression of the abutting structures and/or traction upon the restraining structures.


Damage to the capsule is seen in high energy injuries where it is likely that the hip has subluxed. There is also evidence that accumulative lower level trauma (e.g. sport) can cause tissue damage. In the absence of high energy injury it is important to exclude other causes of groin pain, look for predisposing features and accurately stage the extent of wear in the joint before considering any treatment.


Other causes of groin pain


Predisposing features


Extent of wear



© Mr Gavin Holt :: CotswoldClinics.com :: Print this frame